
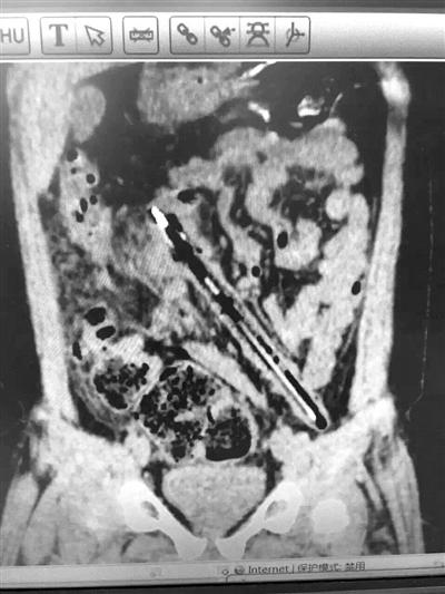
磁共振结果显示,肠子里15厘米的笔赫然可见

经手术从男孩肠子里取出的笔 (高志刚医生供图)
弹珠、发夹、硬币、花生、胶片……
小朋友为什么爱往自己身体里塞东西?
记者 谢谨忆 通讯员 王雪飞
昨天中午12:45,浙大儿院普外科副主任医师高志刚在朋友圈里发了一张磁共振片子的照片——一根筷子模样的东西,直直地卡在肠子里。高医生还写了一句:“整支笔在肠子里,已经一个月了!”马上联系高医生,得知这是他上午接到的一个病例,一个小男孩把一支15厘米的笔从肛门里塞了进去,而且已经在他肠子里待了一个月!
一个月前 男孩把姐姐的一支漂亮水笔塞进肛门
小男孩今年不到8岁,台州人,长得胖嘟嘟的,蛮可爱,不过性格内向,不大愿意与人说话。
男孩父母平时忙着打工,不大管他,他都是跟着16岁的姐姐玩。姐姐有很多各种各样漂亮的笔,一个月前某一天,不知是因为好玩还是好奇,男孩竟偷偷地把姐姐的一支笔塞进了肛门,而且拿不出来了!
男孩当时很害怕,一开始还不敢告诉父母,隔了几天才说。
父母赶紧带他去当地医院拍了X光片。可是当时片子上只显示了一个小亮点。医生跟男孩爸妈说,可能小孩只是塞进去一个小小笔套,用些润肠通便的药,如果能拉出来就好了。
于是男孩父母配了药,带着儿子回家了。
也是幸运,这么一支15厘米的笔卡在结肠里,男孩竟一直没什么不良反应,吃得下睡得着拉得出,不痛不痒。父母虽然一直没看他排出笔套,但孩子一切如常,他们也就渐渐放下了悬起的心,把这事搁置了。直到前天,男孩因为淘气,为了躲避爸爸责罚谎称肚子疼,父母这才重新重视起儿子肚子里的这件事。
昨天一大早,男孩父母带着孩子从台州赶到浙大儿院,磁共振结果显示,一支15厘米的笔,确实卡在男孩的结肠里,且两端笔头抵着肠子的地方,已经有了炎症!
高医生说,笔卡在距肛门40厘米的结肠里,本来可以直接用结肠镜经由肛门进入取出,但因为结肠被笔头抵住处已有炎症,肠壁十分脆弱,万一处理不好,可能造成肠穿孔,所以必须再在腹部打三个洞,在腹腔镜的监视下,再用结肠镜取笔。
“肠壁一旦被笔戳破就是肠穿孔,大便什么的脏东西都会通过漏洞跑到腹腔里,引发腹膜炎,那是要危及生命的!”高医生说,因情况紧急,浙大儿院普外科昨天傍晚5点多为男孩安排了手术,一个多小时后,从男孩结肠里最终取出一支绿色的儿童水笔——地方医院X光片照出来的,其实就是亮亮的金属笔头那部分。
小弹珠、发夹、硬币……
小朋友都往身体里塞了什么?
浙大儿院经常能接诊到体内有异物的小朋友。
高医生说,普外科的病例里有些是意外,比如父母给孩子量肛温的时候,体温计不小心进入了体内;有些则是小孩子自己塞进去的,什么小弹珠之类的,不过塞进这么长的笔,他还是第一次碰到。
小儿妇科孙莉颖副主任医师说,他们一年里总要接到个七八十例下体有异物的女孩子。
耳鼻喉科的付勇副主任医师则说,他们科室几乎每天都能接到往自己鼻孔、耳朵里塞东西的小朋友,什么瓜子、豆子、花生、决明子、小珠子、塑料小玩具、纸团等等,简直是五花八门,千奇百怪。
“我们科室住院部最近就碰到一个五六岁的小女孩,半个月前往鼻子里塞了什么东西,和爸爸妈妈也没及时说,也还说不清楚,只说鼻子里很难受。父母后来发现孩子鼻子开始流脓,到我们医院用CT检查,才发现小女孩鼻子里有异物,但鼻腔里已经长出了肉芽,把异物包裹起来。我们后来只能把小女孩全麻,用鼻内窥镜才把异物取出来,是一个小小薄薄的卷起来的胶片碎片,摊开大概1厘米×1厘米那么大。”
付医生说,他碰到最危险的,是孩子往鼻子里塞纽扣电池的,纽扣电池里的化学液体一旦流出,会对孩子的鼻黏膜造成化学腐蚀,造成鼻腔粘连、鼻中隔穿孔,那孩子以后可能就经常会觉得头痛、流鼻血、呼吸不顺畅等等,大的穿孔还要进行修补。
往身体里塞东西
可能缘自孩子对自己身体的好奇
浙江省立同德医院心理科主任、儿童心理学家徐方忠教授表示,小朋友往身体里塞东西并不是怪癖,可能只是孩子对自己的身体好奇,家长不必太过苛责。
“1岁以前的小婴儿是分不清自己身体和外界环境的区别的,所以我们常常会看到小宝宝吃自己的小手指小脚趾,因为他们不知道在吃自己身体的一部分。2岁左右宝宝开始区分出自身和外界的不同,3岁左右开始出现性别意识,到了五六岁的时候,孩子开始对自己的身体感到好奇,可能会对自己的身体进行各种探索,往鼻孔、耳朵甚至肛门里塞东西,很多时候就是想看看东西塞进去后身体会有什么反应。这种探索,可能一直会持续到七八岁。”
除去好奇,孩子焦虑不安的时候,可能也会通过往身体里塞异物缓解情绪,不过这样的孩子不是偶然一次,而是会反复往身体里塞异物。
那么,如何预防孩子往身体里乱塞东西?
“第一是及时告诉孩子不能这么做,有危险;第二就是把家里的小玩意儿收收好。如果真的发生这样的情况,不要对孩子太过苛责,告诉他下次不能再做这样的事就可以了。”徐教授说。
原标题: 台州7岁男孩把15厘米长水笔塞进肛门1个月!
看台州新闻,关注浙江在线台州频道微信
凡注有"浙江在线台州频道"或电头为"浙江在线台州频道"的稿件,均为浙江在线台州频道独家版权所有,未经许可不得转载或镜像;授权转载必须注明来源为"浙江在线台州频道",并保留"浙江在线台州频道"的电头。新闻爆料:0576-88906060,投稿邮箱:1056292011@qq.com
台州频道

